Cabinet dentaire des Docteurs
Gérard et Stéphane BRAYE

45, avenue Paul Doumer Résidence Saint Martin, immeuble B
06190 Roquebrune Cap-Martin

Cabinet dentaire des Docteurs
Gérard et Stéphane BRAYE

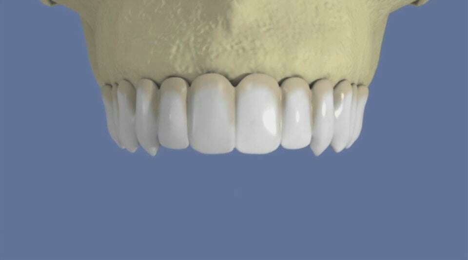
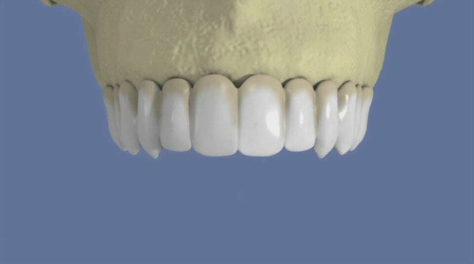
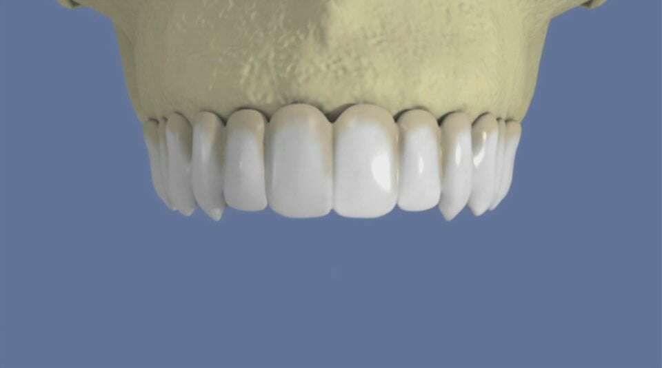
Maxillaire : bridge vissé sans fausse gencive


video-play-icon

Articles similaires

Création par Webdentiste

Connexion