Cabinet dentaire des Docteurs
Gérard et Stéphane BRAYE

45, avenue Paul Doumer Résidence Saint Martin, immeuble B
06190 Roquebrune Cap-Martin

Cabinet dentaire des Docteurs
Gérard et Stéphane BRAYE

Vidéos 3D - Page 4

Facettes

Facettes

Blanchiment au fauteuil

Blanchiment au fauteuil

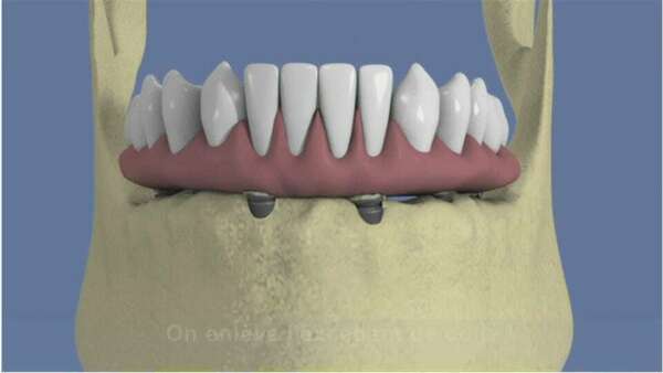
Mandibule complète et traitement implantaire pour un bridge fixe scellé

Mandibule complète et traitement implantaire pour un bridge fixe scellé

Eclaircissement ambulatoire

Eclaircissement ambulatoire

Comblement de sinus par voie latérale (sinus lift) avec implantation différée

Comblement de sinus par voie latérale (sinus lift) avec implantation différée

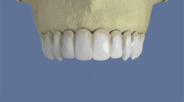
Maxillaire : bridge vissé sans fausse gencive

Maxillaire : bridge vissé sans fausse gencive

Affichage des articles 19-24 sur 61

Création par Webdentiste

Connexion